Cyprien Jungels, DO (he/him/his)
Resident
Swedish Medical Center General Surgery Residency
Englewood, CO, United States
Disclosure information not submitted.
Taylor Sullivan, DO
Resident Physician
Sky Ridge Medical Center, Swedish Medical Center
Lone Tree, Colorado, United States
Disclosure information not submitted.
Omar Hassanain, MD, MS
Resident Physician
Swedish Medical Center General Surgery Residency
Denver, CO, United States
Disclosure information not submitted.
Kenneth Blake, MD, FASCRS
Colon & Rectal Surgeon
HCA HealthOne Sky Ridge Medical Center
Lone Tree, Colorado, United States
All of the relevant financial relationships listed below have been mitigated.
This individual has no financial relationships with ineligible companies.
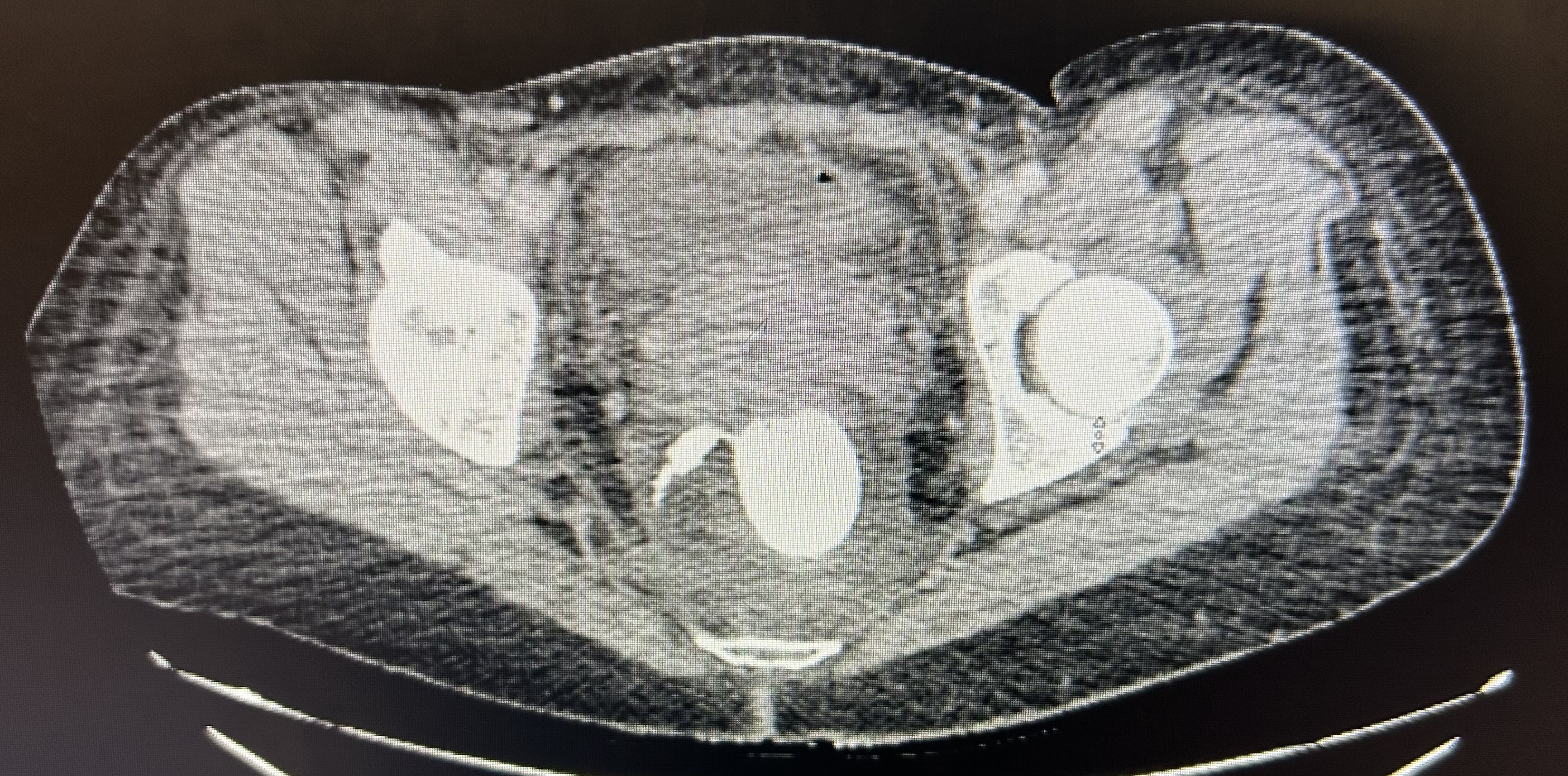
Initial CT imaging notable for air within the mesorectum and peri-rectal soft tissue edema
CT imaging on post-operative day 2 with evidence of extraluminal contrast leak from same site of known distal rectal injury