Sergio Camilo Ayala Perez, Sr., 1018438159
Fellow Coloproctology
Central Military Hospital
Bogota, Distrito Capital de Bogota, Colombia
All of the relevant financial relationships listed below have been mitigated.
This individual has no financial relationships with ineligible companies.
Nairo Javier Senejoa Nuñez, Sr., 7228026
Colon and rectal surgeon
HOMIL
Bogota, Distrito Capital de Bogota, Colombia
All of the relevant financial relationships listed below have been mitigated.
This individual has no financial relationships with ineligible companies.
Dany Fernando Rivas M, Sr., Dr
Surgeon general
12408
Zacapa, Zacapa, Guatemala
All of the relevant financial relationships listed below have been mitigated.
This individual has no financial relationships with ineligible companies.
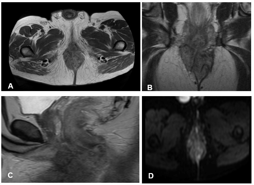
images A axial, B coronal, C sagittal in T2-weighted sequences, a tumor lesion of intermediate signal intensity is identified that compromises the four quadrants in a length of 78 mm and protrusion through the anal verge of 6cm, compromising the sphincter fibers. internal and external and the bulbar urethra and extends to the ischial fat. In the D axial DWI (Diffusion-weighted imaging) and E axial ADC images, there is marked restriction of the tumor mass.
A and B represent photographs of the tumor lesion in the anus and perianal region on the day of the surgical intervention. C shows an image related to the surgical resection (abdominoperineal resection via perineal approach, with the patient in the jackknife position). D is a macroscopic photograph of the surgical specimen. E depicts the surgical bed in the tumor resection area. F shows a photograph of the surgical area reconstruction with primary closure performed by the plastic surgery team.