Michael S. Gerges, DO
Resident Physician
Jefferson Northeast/Philadelphia College of Osteopathic Medicine
Philadelphia College of Osteopathic Medicine
Newark, DE, United States
All of the relevant financial relationships listed below have been mitigated.
This individual has no financial relationships with ineligible companies.
Bakhtawar Mushtaq, MD
Resident
Abington Jefferson Hospital
Abington Jefferson Health
Jenkintown, Pennsylvania, United States
Disclosure information not submitted.
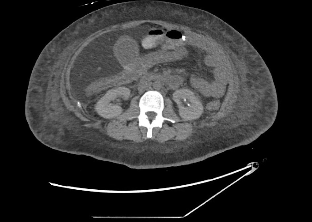
CT scan showing diffuse colitis with no active extravasation
Angiogram showing contrast pick up in the portal vein after injecting contrast in the pancreaticoduodeal artery confirming a fistulous connection