Jessica Chin, MD
Resident
UIC/Advocate Illinois Masonic Medical Center
University of Illinois Chicago
Chicago, IL, United States
All of the relevant financial relationships listed below have been mitigated.
This individual has no financial relationships with ineligible companies.
Kyle Bartelt, MD
Resident
UIC/ Advocate Illinois Masonic Medical Center
Chicago, Illinois, United States
Disclosure information not submitted.
Lily Mei, MD
Pathologist
Advocate Illinois Masonic Medical Center
Chicago, Illinois, United States
Disclosure information not submitted.
Jan Kaminski, MD, MBA, FACS, FASCRS
Director of Clinical Programs, Rectal Cancer and Inflammatory Bowel Disease
Advocate Illinois Masonic Medical Center
Chicago, Illinois, United States
All of the relevant financial relationships listed below have been mitigated.
This individual has no financial relationships with ineligible companies.
Jared Emolo, MD
Colorectal Surgery
Advocate Illinois Masonic
Chicago, Illinois, United States
Disclosure information not submitted.
Joaquin Estrada, MD
DOCTOR
Advocate Health Care
Chicago, Illinois, United States
Disclosure information not submitted.
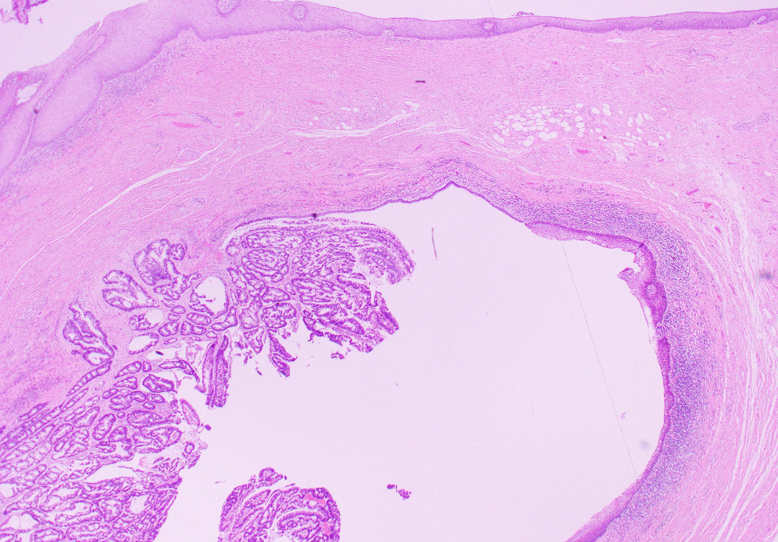
Specimen cross section with a cystically dilated cavity associated with an ill-defined mass. The cavity communicates with the anorectal lumen, consistent with fistula tract.
H&E micrograph showing adenocarcinoma (bottom left) arising from the mucosal lining of a pre-existing sinus tract. Overlying squamous mucosa (top) is benign.