Ajita Naik, MD
Resident
montefiore medical center
The Bronx, NY, United States
All of the relevant financial relationships listed below have been mitigated.
This individual has no financial relationships with ineligible companies.
Christine Yoon, BS
Medical Student
Albert Einstein Medical School
Bronx, New York, United States
Disclosure information not submitted.
Anna Eligulashvili, BS
Medical Student
Albert Einstein Medical School
Bronx, New York, United States
Disclosure information not submitted.
Iyare esemuede, MD
Attending
Montefiore Medical Center
Bronx, New York, United States
All of the relevant financial relationships listed below have been mitigated.
This individual has no financial relationships with ineligible companies.
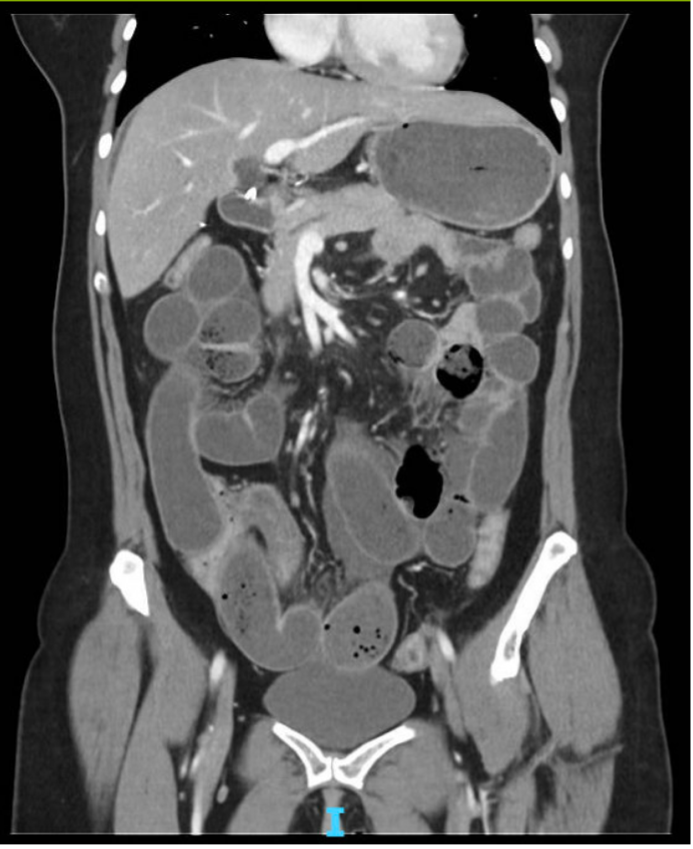
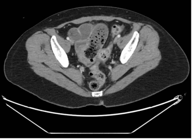
Small bowel obstruction with transition point in the pelvis at the level of wall-thickened distal ileum.
Diffuse wall thickening of the terminal ileum