Emilio Jaybee M. Borgonia, MD
Resident
Philippine General Hospital
Cebu City, Cebu, Philippines
All of the relevant financial relationships listed below have been mitigated.
This individual has no financial relationships with ineligible companies.
Marc Paul J. Lopez, MD, FPSCRS, FPCS
President
Philippine Association of Colon and Rectal Surgeons
Manila, National Capital Region, Philippines
All of the relevant financial relationships listed below have been mitigated.
This individual has no financial relationships with ineligible companies.
Rudolph John de Juras, N/A
Fellow
Philippine General Hospital
Bay, Laguna, Philippines
Disclosure information not submitted.
Alduz Inri Cabasa, MD, FPATACSI
Fellow
Philippine Association of Thoracic, Cardiac and Vascular Surgons
Manila, National Capital Region, Philippines
Disclosure information not submitted.
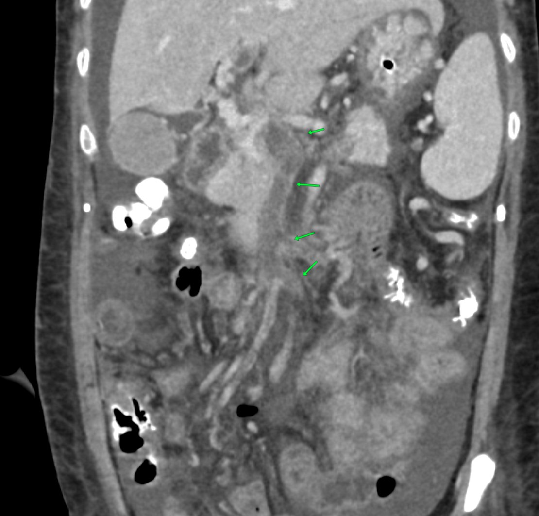
Abdominal CT scan showing the extent of the venous thrombosis, with the green arrows pointing towards the filling defect corresponding to the thrombus along the superior mesenteric vein
Intraoperative findings of generalized congestion with a non-viable ileal segment