Adelso Tejada Jackson, MD (he/him/his)
General Surgery Resident
St. John's Episcopal Hospital
Hospital Metropolitano De Santiago
Far Rockaway, NY, United States
All of the relevant financial relationships listed below have been mitigated.
This individual has no financial relationships with ineligible companies.
Judy Wong, MD
General Surgery Resident
St. Jonh's Episcopal Hospital
Brooklyn, New York, United States
Disclosure information not submitted.
Delcasse Joseph, MD
Attending Surgeon
St John's Episcopal Hospital
Far Rockaway, New York, United States
All of the relevant financial relationships listed below have been mitigated.
This individual has no financial relationships with ineligible companies.
Natalie Hubbard, MD
Attending Physician
St. Johns Episcopal Hpspital
Far Rockaway, New York, United States
Disclosure information not submitted.
Masaru Fujimoto, MD
General Surgery Resident
St. Jonh's Episcopal Hospital
Far Rockaway, New York, United States
Disclosure information not submitted.
Zachary Onkeo, MD
Surgery Resident
St. John's Episcopal Hospital
Far rockaway, New York, United States
Disclosure information not submitted.
Andrew Lehman, DO
Resident
St johns episcopal hospital
Arverne, New York, United States
Disclosure information not submitted.
Danielle Itshaik, n/a
Medical Student
St Johns Episcopal Hospital
brooklyn, New York, United States
Disclosure information not submitted.
Isaac E. Buff, DO
Surgical Resident PGY5
St John's Episcopal Hospital (EHS)
Long Beach, New York, United States
Disclosure information not submitted.
Dmitry Kim, DO
General Surgeon
St John's Episcopal Hospital
Far Rockaway, New York, United States
All of the relevant financial relationships listed below have been mitigated.
This individual has no financial relationships with ineligible companies.
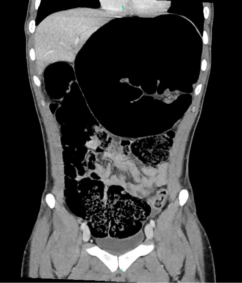
Computed tomography of the abdomen and pelvis, shows a dilated large bowel with the left upper quadrant showing a volvulus.