Dante L. S Souza, MD
General Surgery Resident
TriHealth Good Samaritan Hospital
TriHealth Good Samaritan Hospital
Cintinnati, OH, United States
All of the relevant financial relationships listed below have been mitigated.
This individual has no financial relationships with ineligible companies.
Allie Olmstead, n/a
Fellow Physician
Eastern Virginia Medical School
Norfolk, Virginia, United States
Disclosure information not submitted.
Mildrede Bonglack, MD
Fellow
Good Samaritan Hospital
Cincinnati, Ohio, United States
Disclosure information not submitted.
Catrina C. Crisp, MD MSc
Medical Director, Division Chief
TriHealth
mason, Ohio, United States
Disclosure information not submitted.
Kaitlin Mar, M.D.
Obstetrics & Gynecology Resident
TriHealth
Cincinnati, Ohio, United States
Disclosure information not submitted.
Tari Anderson, MD, FACOG
Private gynecologist
TriHealth
Cincinnati, Ohio, United States
Disclosure information not submitted.
Amy Murphy, DO
Trauma medical director, associate program director
TriHealth
Cincinnati, Ohio, United States
Disclosure information not submitted.
Ashley Tameron, MD
Acute Care Surgeon
TriHealth
Cincinnati, Ohio, United States
All of the relevant financial relationships listed below have been mitigated.
This individual has no financial relationships with ineligible companies.
Prolapsed vaginal vault with necrotic areas.
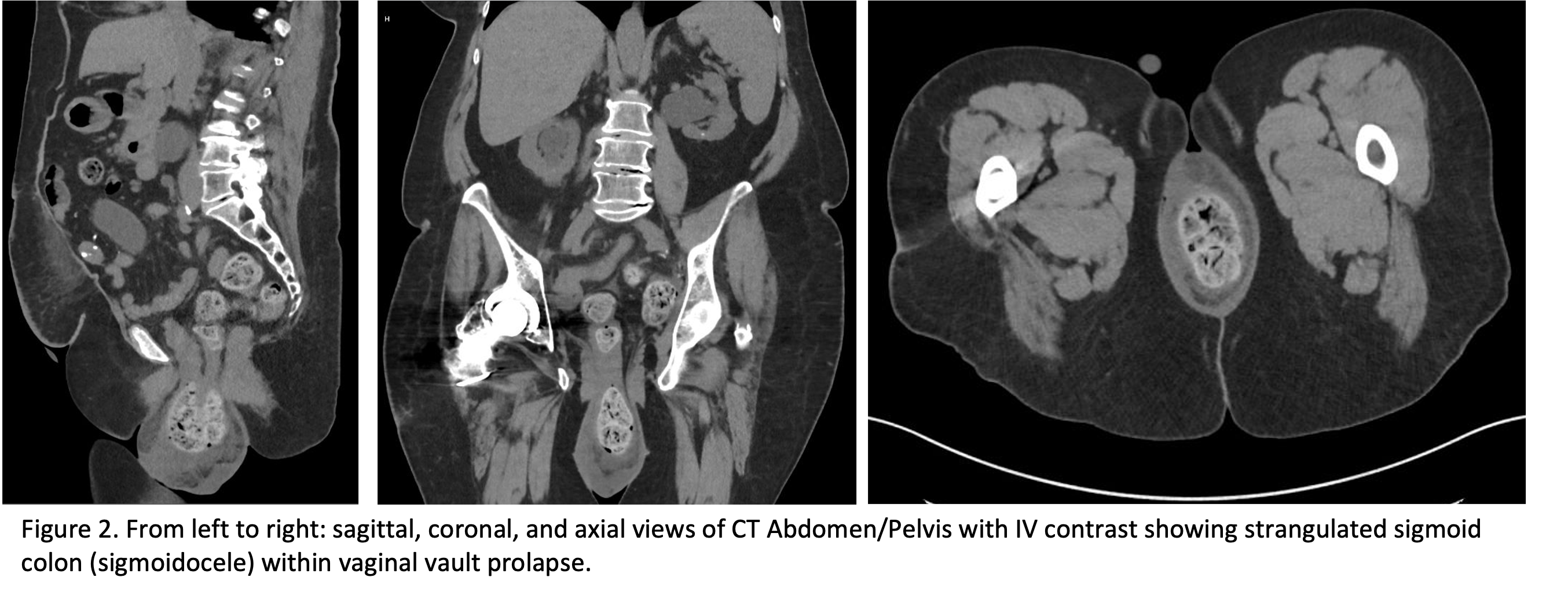
From Left to Right: sagittal, coronal, and axial views of CT Abdomen/Pelvis with IV contrast showing strangulated sigmoid colon (sigmoidocele) within vaginal vault prolapse.