Dylan M. Barnes, MD
Colorectal Fellow
Northside Hospital
Prisma Health / University of South Carolina
Atlanta, GA, United States
All of the relevant financial relationships listed below have been mitigated.
This individual has no financial relationships with ineligible companies.
Gabrielle Perrotti, MD (she/her/hers)
Fellow
Northside Hospital
Atlanta, GA, United States
All of the relevant financial relationships listed below have been mitigated.
This individual has no financial relationships with ineligible companies.
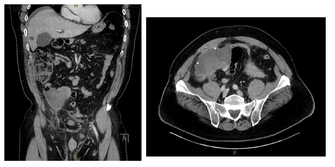
CT demonstrating large complex fluid vs mass (11.7 x 6.2 cm) in the right lower quadrant ileocolic mesentery
Intraoperative depiction of VP shunt occlusion using a rubber shod clamp.