Markyn Jared N. Kho, MD (he/him/his)
Resident in General Surgery
University of the Philippines – Philippine General Hospital
University of the Philippines - Philippine General Hospital
San Juan City, National Capital Region, Philippines
All of the relevant financial relationships listed below have been mitigated.
This individual has no financial relationships with ineligible companies.
Mark R. Kho, MD, MD FACS FSSO
Associate Professor of Surgery and Surgical Oncologist
University of the Philippines Manila and Manila Doctors Hospital
San Juan, National Capital Region, Philippines
Disclosure information not submitted.
Jose M. Carnate, Jr., n/a
Professor
University of the Philippines College of Medicine
Manila, National Capital Region, Philippines
Disclosure information not submitted.
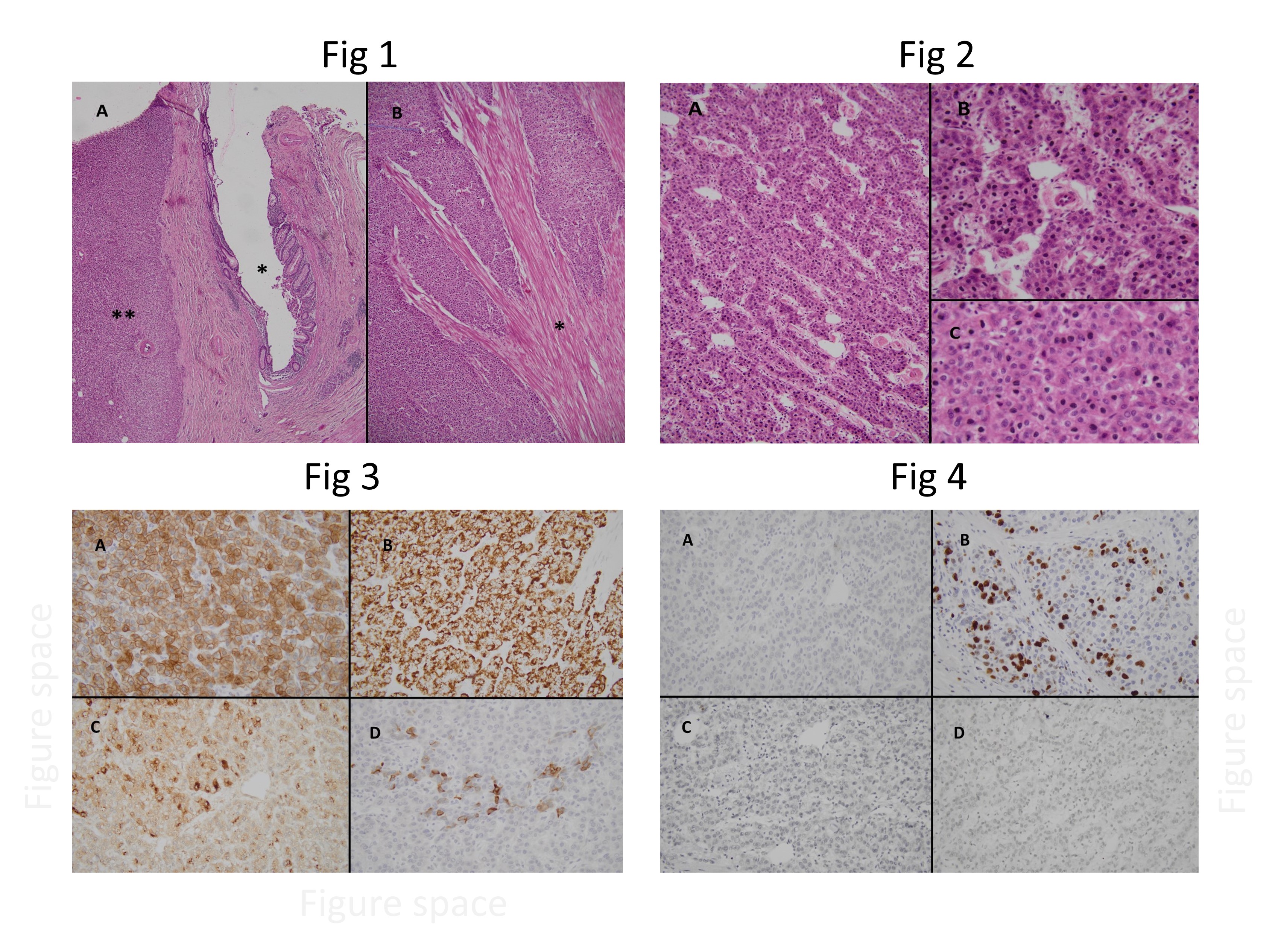
Figure 1