Gabriel Liberon P. Jazon, MD
Medical Officer III
Philippine General Hospital
SAN JOSE CITY, National Capital Region, Philippines
All of the relevant financial relationships listed below have been mitigated.
This individual has no financial relationships with ineligible companies.
Marc Paul J. Lopez, MD, FPSCRS, FPCS
President
Philippine Association of Colon and Rectal Surgeons
Manila, National Capital Region, Philippines
All of the relevant financial relationships listed below have been mitigated.
This individual has no financial relationships with ineligible companies.
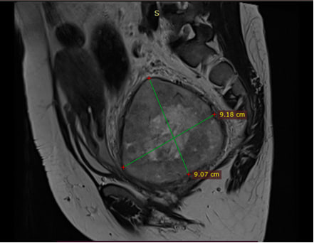
On T2 MRI showing a 9.18 x 9.07 cm fairly defined, heterogenous mass in pelvis/presacral region with prominent internal and surrounding vessels causing rightward displacement and compression of rectum. No enlarged lymph nodes.
showed a 12x12cm coccygeal mass with multiple neovascularization from the internal iliac vessels. Mass is adherent also to the posterior rectum. The liver is smooth. No carcinomatosis or ascites.