Sara Glendinning, DO
Resident
Corewell Health Dearborn/Trenton
Dearborn, MI, United States
All of the relevant financial relationships listed below have been mitigated.
This individual has no financial relationships with ineligible companies.
Arpit Aggarwal, DO
General and Colorectal Surgeon
Corewell Health Dearborn/Trenton
Dearborn, Michigan, United States
Disclosure information not submitted.
Amanda Paulus, DO
Resident
Corewell Health
Dearborn, Michigan, United States
All of the relevant financial relationships listed below have been mitigated.
This individual has no financial relationships with ineligible companies.
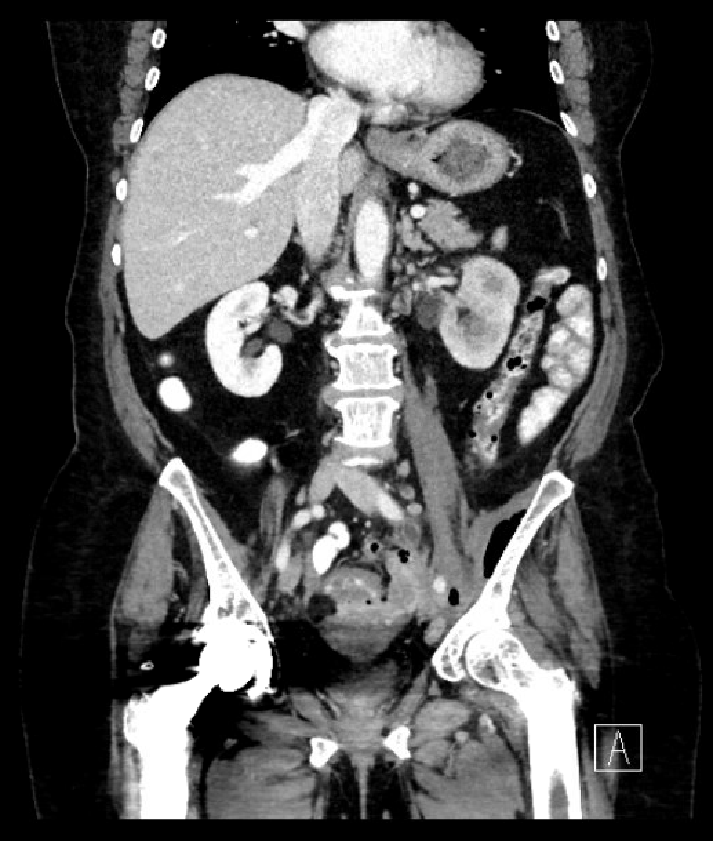
Coronal view of sigmoid to iliacus muscle fistula with air seen within the iliacus muscle.
Axial view of igmoid to iliacus muscle fistula with air seen within the iliacus muscle.